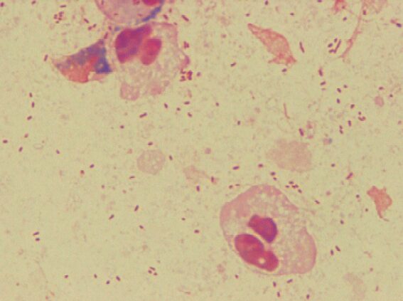
市中肺炎が疑われた患者の喀痰の Gram 染色標本示す。分離菌はヒツジ血液寒天培地に発育しなかった。考えられるのはどれか。

1. Acinetobacter baumannii
2. Haemophilus influenzae
3. Klebsiella pneumoniae
4. Moraxella catarrhalis
5. Pseudomonas aeruginosa
この記事の続きをお読みいただくには、
ログインまたは会員登録が必要です。
市中肺炎が疑われた患者の喀痰の Gram 染色標本示す。分離菌はヒツジ血液寒天培地に発育しなかった。考えられるのはどれか。

1. Acinetobacter baumannii
2. Haemophilus influenzae
3. Klebsiella pneumoniae
4. Moraxella catarrhalis
5. Pseudomonas aeruginosa
この記事の続きをお読みいただくには、
ログインまたは会員登録が必要です。
CARBGEM+は、感染症領域で活躍する、スペシャリストのための専門情報サイトです。会員登録により会員限定の記事の閲覧が可能になります。